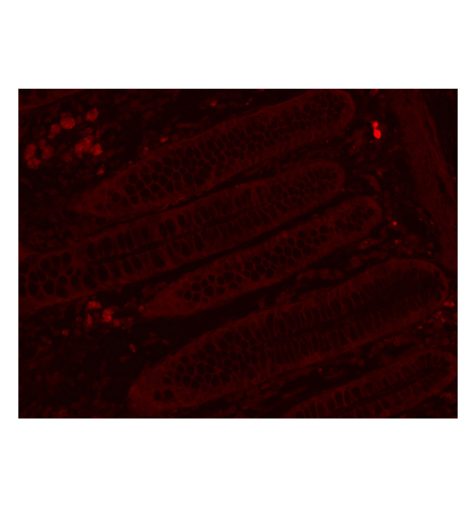
Cy5标记的羊抗小鼠IgG H&L

期货待确认

¥ 2,400.00 2400.0 CNY ¥ 2,400.00

¥ 2,400.00


    此组合不存在。

    加购物车

    目录号:bs-0296G-Cy5

    计量单位:PC

    商品规格:1ml

    分享商品:
    无规格
    这是用户近期浏览商品预览.
    只要用户查看过一个商品这个片断就会显示.
    近期浏览商品